格安のマウスピース矯正で
良いと思っている方
早い!安い!手軽!
と謳っている
今流行りの格安マウスピース矯正では
対応できないケース
があるんです。
格安マウスピース矯正を
選んでしまったせいで
結局後戻りしちゃった
歯が動かなかった
と失敗した方も...
歯科医師達も
歯科医を介さない
ビジネスモデル
警鐘を鳴らしています。

17医院の歯科法人を抱える
小池先生も
部分矯正で
全体のアプローチはできないと
注意喚起しています。
そもそも骨を動かすので
✅骨格
✅筋肉
などの全体を見る必要が
あるんです。
でないと…
歯並びだけの矯正だと不自然になってしまう…
そもそも歯並びが治りきらない
エスカ歯科では
確かな技術で
良質な治療を
皆様にご提供するため、
CTスキャン
最新設備を完備
カウンセリングの様子
お客様一人ひとりの
お悩みに合わせて
最善の治療を
提供しています。
エスカ歯科は
マウスピース矯正を始めとした
"豊富な矯正メニュー”
をご提案
噛み合わせまで考えて
最適な治療法を提案。
バレない・安い・早いの
人気治療法ですが…
いわば、
資格いらずの
"なんちゃって矯正”
なんです!
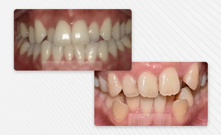
重度の受け口や出っ歯
前歯だけの矯正では
歯が動かないため、
そもそも
抜歯しないとキレイにならない
歯並びなんです。


歯をしっかり動かすには
顎全体から
アプローチする必要。
だから
前歯だけ動かせばいい
というものではないのです。
安く・早く
できるはずが
高く・長く
治療することに…😭
軽度〜重度まで対応が可能。
マウスピース矯正で
治療が完了しない場合は
ワイヤー矯正
フルケース矯正
の選択肢もございます。
カウンセリング時に
歯並びの悩みを
ぜひお聞かせください。
歯並びが改善した女性
他の医院で
断られた症例も
当院にお任せください。
当院では
歯科医師がいることはもちろん
レッドダイヤモンドプロバイダー
認定医在籍✨
レッドダイヤモンドプロバイダー認定の盾を持つ女性
当院はCTスキャンまで完備!
でも結局
手頃じゃないと
始められない…💦
安心×安さを
両立しているのが
当院なんです
1、来院
2、シミュレーション
3、治療計画のご相談
5、矯正治療開始



